
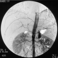
| 肝細胞癌(HCC)は、肝硬変やB型・C型肝炎ウイルス(HBV・HCV)感染などと 関連が多い肝細胞癌類似の細胞より構成される上皮性悪性腫瘍である。 画像診断法として、Dynamic CTでの早期(動脈相)で強い腫瘤のenhancement及び 後期(後期実質相・門脈相)での相対的な低吸収域化はHCCとして典型的といえる。 治療法としては、外科的手術の他にPEIT・PMCTなどの局所療法やTAE(科学塞栓療法) が行われている。 |
| 今回はTAEの一例を紹介する。TAEはAngio下で、腫瘍の栄養血管を ゼラチンスポンジなどの塞栓物質で、抗癌剤の投与と合わせて塞栓し 腫瘍を虚血状態にして壊死させようというものである。 通常、肝の流入血管は80%が門脈血、20%が肝動脈血であるのに対し HCCはほぼ100%の血流を肝動脈から得ているが肝動脈の分岐形式は 多様であって、この症例も希な例といえる。 |
|
|
|||
|
![]()
|
|
この症例は、CT上S8領域にHCCを認めたが肝動脈造影、上腸間膜動脈造影では |
![]() |